
Near Infrared Imaging Market Set for Steady Growth, Projected to Reach $435 Million by 2030
Share
The global Near Infrared Imaging Market is projected to grow at a compound annual growth rate CAGR of 4%, reaching $435 million by 2030, according to a recent research report by Next Move Strategy Consulting.
Claim Your FREE Sample and See the Difference!
What is Near Infrared Imaging?
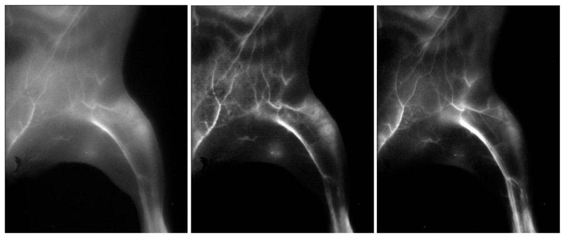
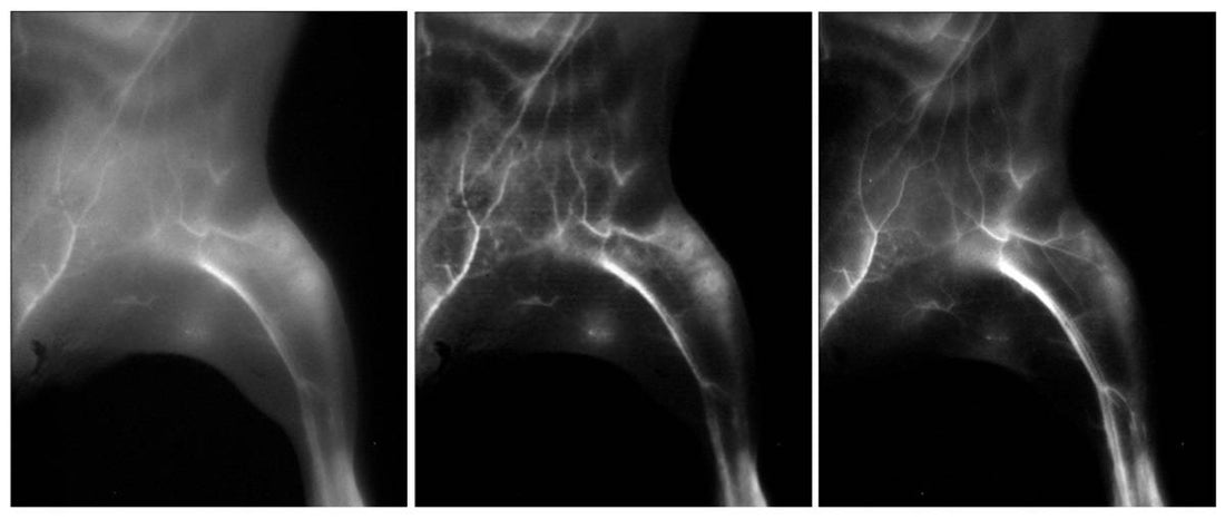
Near Infrared Spectroscopy and Imaging (NIRS) utilizes near-infrared light ranging from 780 nm to 2500 nm to non-invasively measure the concentration and oxygenation of hemoglobin in tissues such as the brain and muscles. This technique is particularly useful in detecting changes caused by brain activity, injuries, or diseases. Near-infrared imaging is widely used in medical diagnostics, especially in cases involving chronic diseases such as cancer and cardiovascular conditions.
Key Drivers of Market Growth
The rise in chronic diseases such as prostate cancer, lung cancer, and cardiovascular diseases has led to increased demand for surgical procedures and advanced diagnostic techniques. This, in turn, is driving the growth of the near-infrared imaging market. Near-infrared imaging's ability to provide real-time, non-invasive insights into tissue oxygenation and blood flow is proving valuable in both clinical and research settings.
Despite its benefits, factors such as the high cost of equipment and the availability of alternatives like thermal imaging, MRI, and ultrasound pose challenges to the widespread adoption of near-infrared imaging technology.
Market Segmentation
The global near infrared imaging market is segmented based on product, application, indication, end user, and geography:
- By Product:
- Near Infrared Fluorescence Imaging Systems
- Near Infrared Fluorescence & Bioluminescence Imaging Systems
- By Application:
- Pre-Clinical Imaging
- Medical Imaging
- Clinical Imaging
- By Indication:
- Cancer Surgeries
- Cardiovascular Surgeries
- Gastrointestinal Surgeries
- Plastic/Reconstructive Surgeries
- Others
- By End-User:
- Hospitals & Clinics
- Research Laboratories
- Others
- By Region:
- North America
- Europe
- Asia-Pacific
- Rest of the World (RoW)
Regional Insights
North America held the largest share of the near-infrared imaging market in 2019 and is expected to continue leading the market through 2030. This dominance is attributed to a high number of surgical procedures and advanced medical facilities in the region.
Asia-Pacific, on the other hand, is anticipated to experience the fastest growth during the forecast period. This is primarily due to increased awareness about the importance of early cancer screening and rising healthcare investments in the region. As awareness grows, demand for early diagnosis tools such as near-infrared imaging is expected to surge, driving market growth in Asia-Pacific.
Opportunities and Future Outlook
As the medical industry continues to focus on improving surgical outcomes and patient care, the adoption of advanced imaging technologies like near-infrared systems will rise. Additionally, innovations in technology that make near-infrared imaging more affordable and accessible will open up new opportunities for market players. The growing emphasis on early diagnosis and personalized medicine will also contribute to the steady growth of the near-infrared imaging market.
Conclusion
The Near Infrared Imaging market is poised for steady growth, driven by increasing demand for advanced diagnostic techniques in the treatment of chronic diseases and surgical procedures. While challenges such as high costs and competition from alternative imaging technologies remain, the continued technological advancements and increased awareness of its benefits are expected to push the market forward. Businesses interested in tapping into this growing market can explore a range of near-infrared imaging solutions available on our Shopify store, designed to meet the needs of modern medical and research professionals.