
Sweden Cone-Beam Computed Tomography (CBCT) Systems Market is Predicted to Reach USD 21 Million with a CAGR of 10% by 2030
Share
Cone Beam Computed Tomography (CBCT) is also known as C-arm CT, cone beam volume CT, flat panel CT, Digital Volume Tomography (DVT), or Digital Volume CT. Sweden Cone-Beam Computed Tomography (CBCT) Systems Market is predicted to reach USD 21 million with a CAGR of 10% by 2030, according to industry analysts at Next Move Strategy Consulting.
Download FREE Sample: https://www.nextmsc.com/sweden-cbct-systems-market/request-sample
Key Highlights:
Strong Healthcare Infrastructure: Sweden is renowned for its robust healthcare system, which has consistently embraced advanced medical technologies. The demand for Cone-Beam Computed Tomography (CBCT) systems is driven by the need for high-resolution imaging in a variety of medical disciplines, including dentistry, orthopedics, and maxillofacial surgery.
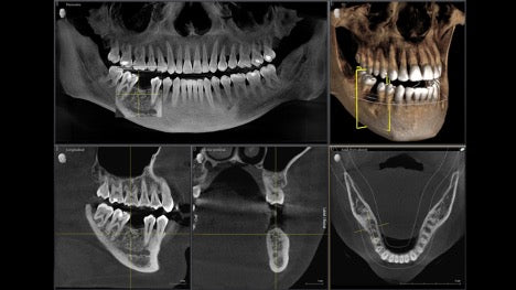
High Adoption in Dentistry: The dental sector is a significant driver for the CBCT systems market in Sweden. With an increasing number of dental professionals opting for CBCT technology for more accurate imaging, particularly in implantology, orthodontics, and periodontics, Sweden is seeing steady growth in the adoption of this technology within dental clinics.
Technological Advancements: The Swedish CBCT systems market benefits from cutting-edge innovations in the technology. Newer models offer improved image quality, reduced radiation exposure, and faster scan times, leading to better patient care and higher levels of diagnostic accuracy, further fueling the demand for CBCT systems.
Aging Population and Medical Needs: Like many European countries, Sweden is facing an aging population, which increases the prevalence of chronic conditions and age-related diseases such as osteoporosis, dental issues, and cardiovascular conditions. These factors contribute to the growing need for advanced diagnostic technologies like CBCT in both the public and private healthcare sectors.
Government Support and Reimbursement Policies: Sweden has a comprehensive public healthcare system with government initiatives that promote the adoption of advanced medical technologies. The availability of favorable reimbursement policies and funding for healthcare infrastructure upgrades ensures the continued growth and affordability of CBCT systems in the country.
Market Players:
The Sweden CBCT systems industry includes several market players such as Dentsply Sirona, Koninklijke Philips N.V., Vatech Co., Ltd, Envista Holdings, Planmeca OY, J. Morita Mfg. Corp., Cefla S.C., Hefei Meyer Optoelectronic Technology INC, Xoran Technologies LLC, Acteon Group, Hitachi Ltd., Genoray Co. Ltd., Asahi RoEntgen Ind. Co. Ltd., OSSTEM IMPLANT CO., LTD., Largev Instrument Corp. Ltd., Carestream Dental LLC, Curvebeam AI, and HDXWILL, among others.
Inquire Before Buying: https://www.nextmsc.com/sweden-cbct-systems-market/inquire-before-buying
Market Key Segments:
By Patient Position
- Seated
- Supine
- Standing
By Detector Type
- Image Intensifier
- Flat-Panel Detector
By Field of View
- Small FOV Systems
- Medium FOV Systems
- Large FOV Systems
By Application
- Dental
- ENT Applications
- Orthopedic Conditions
- Neural & Spine
- Lung Cancer
𝗖𝗼𝗻𝗰𝗹𝘂𝘀𝗶𝗼𝗻:
Sweden's Cone-Beam Computed Tomography (CBCT) Systems Market is thriving, driven by advancements in technology, increasing applications across various medical fields, and strong healthcare infrastructure. The dental sector remains the primary adopter, but the expanding use of CBCT in other medical specialties, coupled with government support, ensures continued growth. The competitive landscape, supported by a highly skilled workforce and a patient-centered healthcare approach, positions Sweden as a key market for CBCT systems in the European region. With these trends in place, the Swedish CBCT market is expected to continue evolving, providing high-quality diagnostic imaging solutions to both local and international patients.
Also, Browse Related Reports:
- The Lung Cancer Diagnostics Market is Predicted to Reach USD 6 billion with a CAGR of 10%
- The Allergy Treatment Market is Predicted to Reach USD 36 Billion with a CAGR of 6%
- The Breast Imaging Technologies Market is Predicted to Reach USD 7 Billion with a CAGR of 7%
For more inquiries, please contact:
Next Move Strategy Consulting
E-Mail: info@nextmsc.com
Direct: +1-217-650-7991
Website: https://www.nextmsc.com/
Follow Us: LinkedIn | Twitter | YouTube | Facebook | Instagram
About Next Move Strategy Consulting:
Next Move Strategy Consulting is a premier market research and management consulting firm that has been committed to provide strategically analysed well documented latest research reports to its clients. The research industry is flooded with many firms to choose from, what makes Next Move different from the rest is its top-quality research and the obsession of turning data into knowledge by dissecting every bit of it and providing fact-based research recommendation that is supported by information collected from over 500 million websites, paid databases, industry journals and one on one consultations with industry experts across a diverse range of industry sectors. The high-quality customized research reports with actionable insights and excellent end-to-end customer service help our clients to take critical business decisions that enables them to move beyond time and have competitive edge in the industry.
We have been servicing over 1000 customers globally that includes 90% of the Fortune 500 companies over a decade. Our analysts are constantly tracking various high growth markets and identifying hidden opportunities in each sector or the industry. We provide one of the industry’s best quality syndicated, as well as custom research reports across 10 different industry verticals. We are committed to deliver high quality research solutions in accordance to your business needs. Our industry standard delivery solutions that range from the pre consultation to after-sales services, provide an excellent client experience and ensure right strategic decision making for businesses.